Digital Smile Design presso lo Studio dentistico Lodato e Cannavò
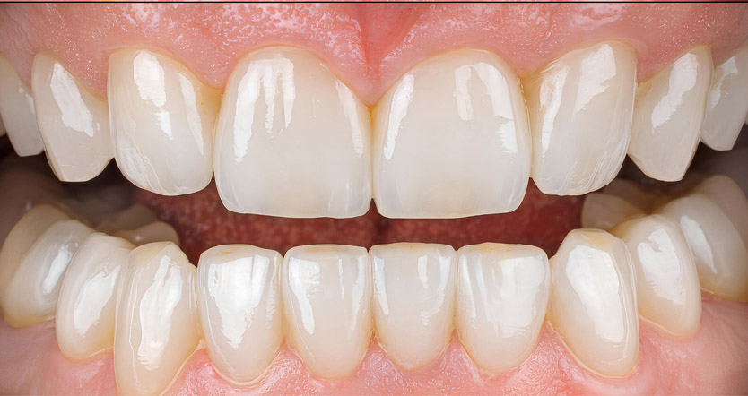
Il design del sorriso digitale è un concetto innovativo che consente al tuo dentista di utilizzare le proporzioni facciali e dentali per mappare un sorriso che perfeziona le tue caratteristiche uniche.
Utilizzando fotografie intra-orali ed extra-orali di alta qualità scattate dal tuo dentista, nonché stampe per i tuoi archi superiori e inferiori e utilizzando un software ad alta tecnologia, il tuo nuovo sorriso viene fabbricato e mostrato a te utilizzando le tue foto e le caratteristiche facciali.
Questo ti permette di essere in grado di contribuire al tuo sorriso futuro! Puoi scegliere la forma dei denti e la tonalità e vedere come appare sul tuo viso, non solo un modello dei tuoi denti. Questo ti permetterà di apportare modifiche prima ancora che il dentista tocchi i tuoi denti.





